Клиника сейчас работает. Будет работать до 2100

Диамант-Дент

  1. Москва, Новочеркасский бульвар, 10к1, 109651

    Клиника на карте
  2. Пн-Вс 0900-2100.

  3. +7 (49 ... Показать телефоны

  4. distom.mydentalnet.com
  5. distom.ru
  1. Запись наприем

  2. Оставить отзыв

  3. Задать вопрос

  4. Добавить в избранное

Напишите отзыв о стоматологии

Пожалуйста, напишите отзыв, вы
поможете сотням тысяч людей в выборе

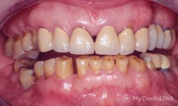
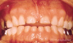
Больше информации о клинике Диамант-Дент

Чтобы задать вопрос необходимо
Чтобы записаться, необходимо
Чтобы оставить отзыв необходимо