Клиника сейчас работает. Будет работать до 2000
Москва, Гурьянова, 67с1, 109388
Клиника на картеПн выходной Вт-Сб 1000-2000. Вс выходной
+7 (49 ... Показать телефоны
Запись наприем
Сейчас свободно врачей 3Оставить отзыв
Задать вопрос
Добавить в избранное
Пожалуйста, напишите отзыв, вы
поможете сотням тысяч людей в выборе
Пример 1 Пациентка обратилась с жалобами на эстетическую неудовлетворенность передней группой зубов...
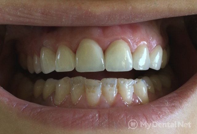
Пример 2 После лечения. Благодаря безметалловой конструкции все зубы сохранены живыми (без удаления нерва).
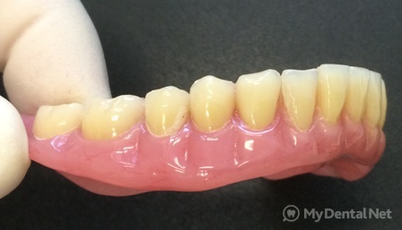
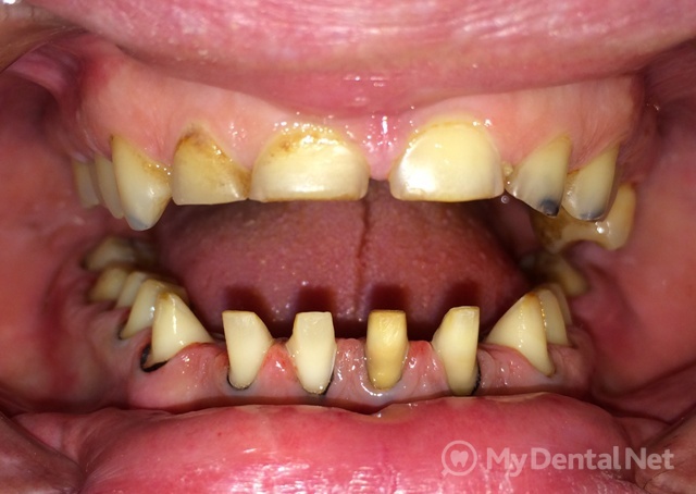
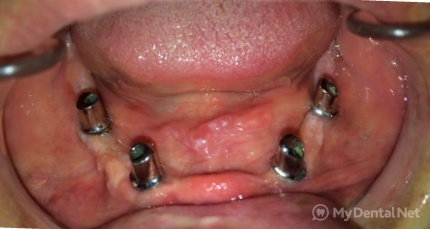
Пример 3 Пациент обратился с жалобой на плохую фиксацию съемного протеза. Невозможность приема пищи и нарушение речи.
Больше информации о клинике Гео-Дент